Torbiel otworu przysiecznego u pacjenta z małopłytkowością – opis przypadku
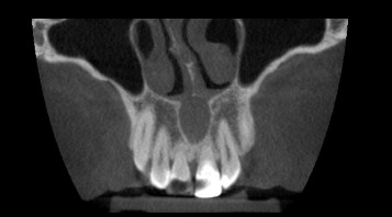
- Artykuł omawia przypadek torbieli otworu przysiecznego, która stanowi rzadką, trzecią co do częstości występowania, torbiel kości szczęk w postaci jasnego fragmentu skóry o konkretnym kształcie.
- Opis przypadku: badanie, leczenie.

Title: An incisive canal cyst in a patient with thrombocytopenia – a case report
Streszczenie: Artykuł omawia przypadek torbieli otworu przysiecznego, która stanowi rzadką, trzecią co do częstości występowania, torbiel kości szczęk w postaci jasnego fragmentu skóry o konkretnym kształcie. Przeanalizowano przebieg leczenia ww. torbieli, a także przedstawiono istotne dla jej rozwoju możliwe czynniki zapalne, pozostałe torbiele występujące w tym obrębie, możliwe objawy oraz leczenie opisywanej zmiany. Rekonwalescencja zmiany może stanowić spore ryzyko ze względu np. na silne ukrwienie obszaru przy występowaniu małopłytkowości krwi (zaburzenie hemostazy).
Słowa kluczowe: torbiel otworu przysiecznego, ICC, małopłytkowość, PRF, hemostaza
Summary: The article discusses the case of an incisive canal cyst, which is a rare, third in the frequency of occurrence, cyst of the jaw bone in the form of a light skin fragment of a specific shape. The authors have presented the course of treatment of the above-mentioned cysts as well as possible inflammatory factors crucial for its development, other cysts present in this area, possible symptoms and treatment of the described lesion. The [...]
którzy są subskrybentami naszego portalu.
i ciesz się dostępem do bazy merytorycznej wiedzy!



