Torbiel samotna żuchwy – opis przypadku
- Czym jest torbiel samotna?
- Gdzie najczęściej się lokalizuje i jaka jest jej etiologia?
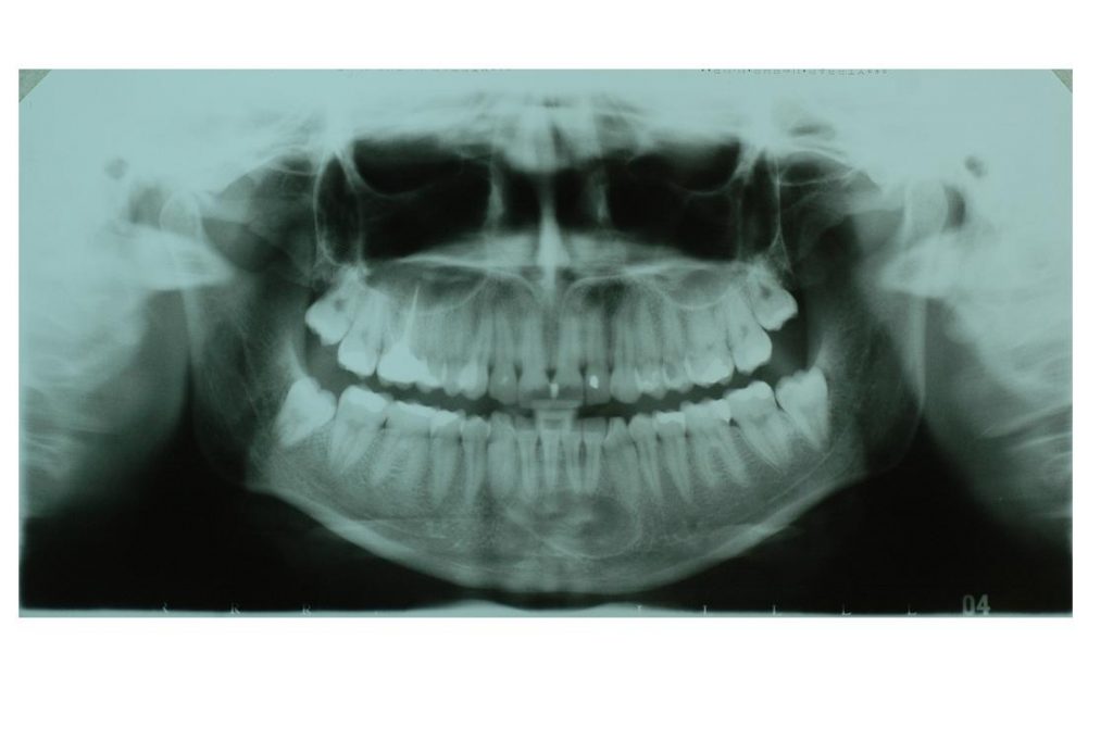
- Celem pracy jest przedstawienie opisu przypadku torbieli samotnej w żuchwie w jej przednim odcinku u 19-letniej pacjentki, którą zdiagnozowano przypadkowo po wykonaniu zdjęcia panoramicznego zębów.

Title: The solitary bone cyst – a case report
Streszczenie: Torbiel samotna (SBC – solitary bone cyst) jest łagodną zmianą, często wykrywaną w obrębie kości długich u dzieci, w pierwszej i drugiej dekadzie życia. Przy lokalizacji w kościach twarzoczaszki najczęściej umiejscowiona jest w odcinku bocznym żuchwy. Celem pracy jest przedstawienie opisu przypadku torbieli samotnej w żuchwie w jej przednim odcinku u 19-letniej pacjentki, którą zdiagnozowano przypadkowo po wykonaniu zdjęcia panoramicznego zębów.
Słowa kluczowe: torbiel samotna żuchwy, uraz, SBC, torbiel prosta kości, torbiel pourazowa, torbiel krwotoczna
Summary: The solitary bone cyst (SBC) is a benign lesion, often found in the long bones of children, in the first and second decades of life. Its most common location in the jaw bones is the posterior region of the mandible. The aim of the paper is to present a case report of a solitary bone cyst in the frontal section of the mandible in a 19-year-old patient, which was diagnosed accidentally after a panoramic X-ray was done.
Keywords: solitary bone cyst, trauma, SBC, simple bone cyst, traumatic cyst, haematocyst
Torbiel samotną kości (solitary bone cyst, [...]
którzy są subskrybentami naszego portalu.
i ciesz się dostępem do bazy merytorycznej wiedzy!




