Transpozycja – sposób postępowania leczniczego na przykładzie przypadku klinicznego
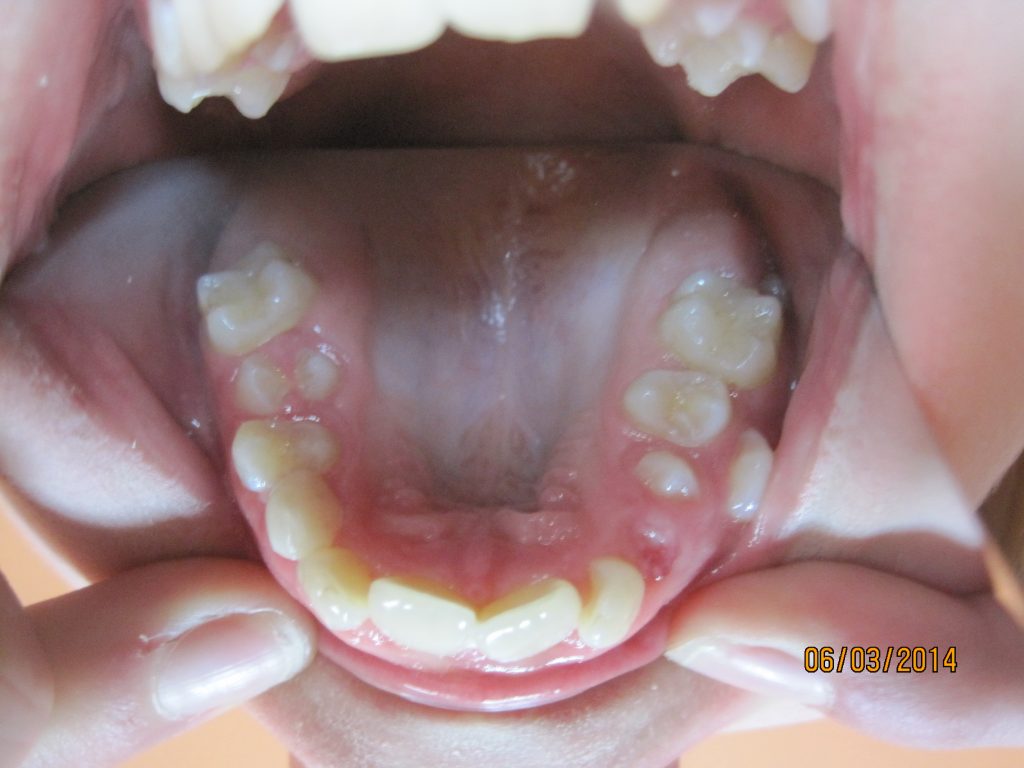
- W pracy opisano rodzaje klasyfikacji zaburzenia i sposób postępowania na przykładzie własnego przypadku klinicznego.
- Zwrócono uwagę na właściwą diagnostykę radiologiczną.
- W prezentowanym przypadku klinicznym w ocenie lekarza i pacjenta uzyskano satysfakcjonujący estetyczny i czynnościowy wynik leczenia, niewymagający korekty kształtu zębów i zabiegów periodontologicznych.

Title: Transposition – clinical proceedings based on a case report
Streszczenie: W pracy opisano rodzaje klasyfikacji zaburzenia i sposób postępowania na przykładzie własnego przypadku klinicznego. Zwrócono uwagę na właściwą diagnostykę radiologiczną (panorama, zdjęcie zgryzowe i tomografia komputerowa), która pozwala na określenie lokalizacji zębów, stosunku do struktur sąsiednich, a zastosowana odpowiednio wcześnie pozwala zapobiec nasileniu nieprawidłowości. W prezentowanym przypadku klinicznym w ocenie lekarza i pacjenta uzyskano satysfakcjonujący estetyczny i czynnościowy wynik leczenia, niewymagający korekty kształtu zębów i zabiegów periodontologicznych.
Słowa kluczowe: transpozycja, zamiana kolejności położenia zębów, zaburzenie położenia zębów
Summary: The paper describes the classification of the disorder and the procedure on the basis of our own clinical case. Attention is drawn to the proper radiological diagnostics (panorama, occlusal image, and computer tomography) which permits to define the location of the teeth, the relation to the adjacent structures and, if performed early enough, allows also to avoid the progress of the anomaly. In the presented clinical case, in the doctor’s and the patient’s respective opinion, the result was satisfactory both on the aesthetic and practical level; it did not require the correction of the shape of the teeth or any [...]
którzy są subskrybentami naszego portalu.
i ciesz się dostępem do bazy merytorycznej wiedzy!




