Uzupełnienia protetyczne ruchome u pacjentów w wieku rozwojowym – przegląd piśmiennictwa
- W pracy przedstawiono metody leczenia pacjentów młodocianych za pomocą protez ruchomych.
- Braki zębowe u dzieci, rehabilitacja protetyczna.
- Opis przypadku.

TITLE: Removable dentures for childrenand adolescents – a review of the literature
STRESZCZENIE: Leczenie protetyczne pacjentów młodocianych stanowi duże wyzwanie i wymaga współpracy wielu specjalistów z różnych dziedzin stomatologii. Wykonane konstrukcje uzupełnień protetycznych muszą uwzględniać dynamiczne procesy wzrostu i przebudowy układu stomatognatycznego oraz przywracać jego prawidłową morfologię i funkcje. W pracy przedstawiono metody leczenia pacjentów młodocianych za pomocą protez ruchomych.
SŁOWA KLUCZOWE: leczenie protetyczne młodocianych, protezy dziecięce, hipodoncja, dysplazja ektodermalna
SUMMARY: Prosthetic treatment of children and adolescents is a huge challenge and requires the cooperation of specialists from different fields of dentistry. The prosthetic treatment plan must take into account the dynamic processes of the growth and reconstruction of the stomatognathic system and restore its correct morphology and functions. The paper describes different methodsof the treatment of juvenile patients with the useof removable dentures.
KEYWORDS: prosthetic treatment of juveniles,children’s dentures, hypodontia, ectodermal dysplasia
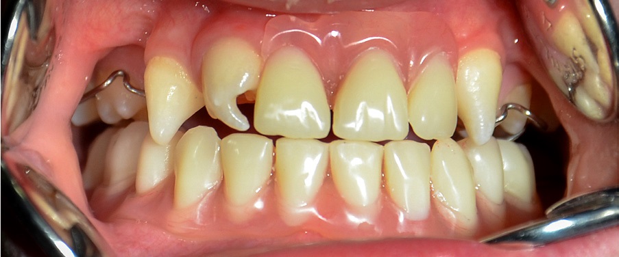
Braki zębowe u dzieci stanowią poważny problem kliniczny z uwagi na ciągłe zmiany zachodzące w narządzie żucia oraz wzrost i rozwój pacjenta. Rehabilitacja protetyczna pacjentów [...]
którzy są subskrybentami naszego portalu.
i ciesz się dostępem do bazy merytorycznej wiedzy!



