Zęby zatrzonowe – opis dwóch przypadków
- Występowanie zębów nadliczbowych w okolicy zębów trzonowych szczęki.
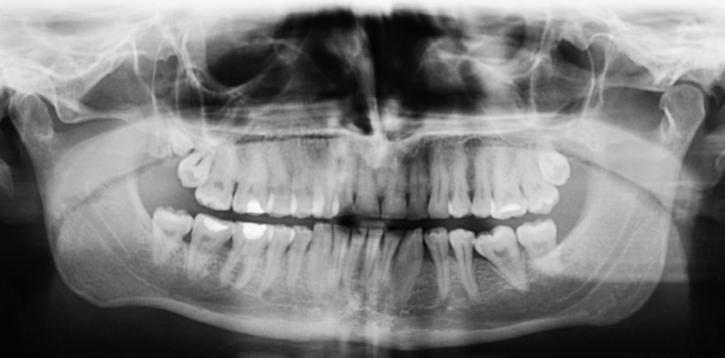
- Opis przypadku pierwszego: całkowicie zatrzymany ząb trzonowy.
- Opis przypadku drugiego: ząb zatrzonowy wyrznięty nad całkowicie zatrzymanym zębem trzonowym trzecim.

Title: Distomolars – a report of two cases
Streszczenie: W pracy przedstawiono zagadnienie występowania zębów nadliczbowych w okolicy zębów trzonowych szczęki. Opisano dwa przypadki medyczne. Przypadek pierwszy dotyczy 22-letniego pacjenta, u którego przypadkowo w badaniu radiologicznym wykryto całkowicie zatrzymany ząb zatrzonowy. Przypadek drugi opisuje ząb zatrzonowy wyrznięty nad całkowicie zatrzymanym zębem trzonowym trzecim, będący przyczyną zębopochodnego okołoszczękowego stanu zapalnego.
Słowa kluczowe: zęby zatrzonowe, zęby nadliczbowe, hiperdoncja
Summary: The paper describes the incidence of supernumerary teeth in the region of the maxillary molars. Two cases are presented. The first case is a 22-year-old male patient in whom a totally retained distomolar was found by accident in an X-ray examination. The report of the other case describes a retromolar tooth erupted above a totally retained wisdom tooth, being the cause of odontogenic infection in the jaws.
Keywords: distomolars, supernumerary teeth, hyperdontia
Hiperdoncja jest zaburzeniem uwarunkowanym genetycznie, dotyczącym zwiększenia liczby zębów w jamie ustnej. Uważa się, że jest ono wynikiem aberracji w inicjacyjnym [...]



