Aspekty leczenia interdyscyplinarnego u pacjentki z chorobą przyzębia. Opis przypadku
- Jak wygląda plan leczenia pacjentki z chorobą przyzębia?
- Wykorzystanie systemu SAF w leczeniu endodontycznym.

Title: Aspects of interdisciplinary treatment of patient with periodontal disease – case report
Słowa kluczowe: choroby przyzębia, PET, SAF, PCR
Keywords: periodontal diseases, PET, SAF, PCR
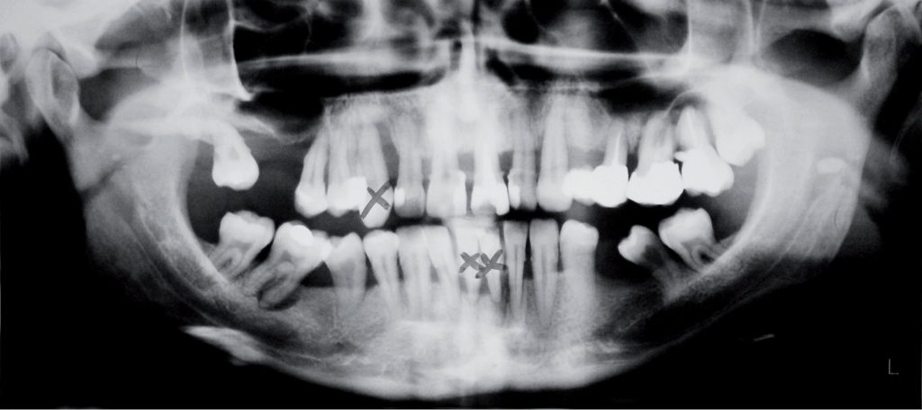
Streszczenie: W artykule przedstawiono interdyscyplinarne leczenie pacjentki z chorobą przyzębia. Opisano wszystkie użyte procedury, niezbędne do uzyskania satysfakcjonującego efektu końcowego, zarówno dla pacjentki, jak i lekarzy prowadzących. W procesie leczenia w celu zmaksymalizowania efektywności zostały wykorzystane najnowocześniejsze metody, m.in. system SAF w leczeniu endodontycznym czy test PET na obecność periopatogenów.
Summary: The article presents interdisciplinary treatment of a patient with periodontal disease. The authors described all stages of treatment, necessary to gain the final effect which would be satisfying for both – a patient and a leading doctor. In this multidisciplinary treatment were used the most modern methods of treatment for the most effective cure: SAF endodontic system and test PET for the presence of periopathogens.
Nowoczesna stomatologia zakłada dokładnie zaplanowane i interdyscyplinarne leczenie chorób w obrębie jamy ustnej, zapewniające prawidłowe odtworzenie funkcji układu stomatognatycznego i optymalną estetykę.
Rehabilitację protetyczną powinniśmy rozpocząć od dokładnego wywiadu, badania zewnątrzustnego [...]
którzy są subskrybentami naszego portalu.
i ciesz się dostępem do bazy merytorycznej wiedzy!



