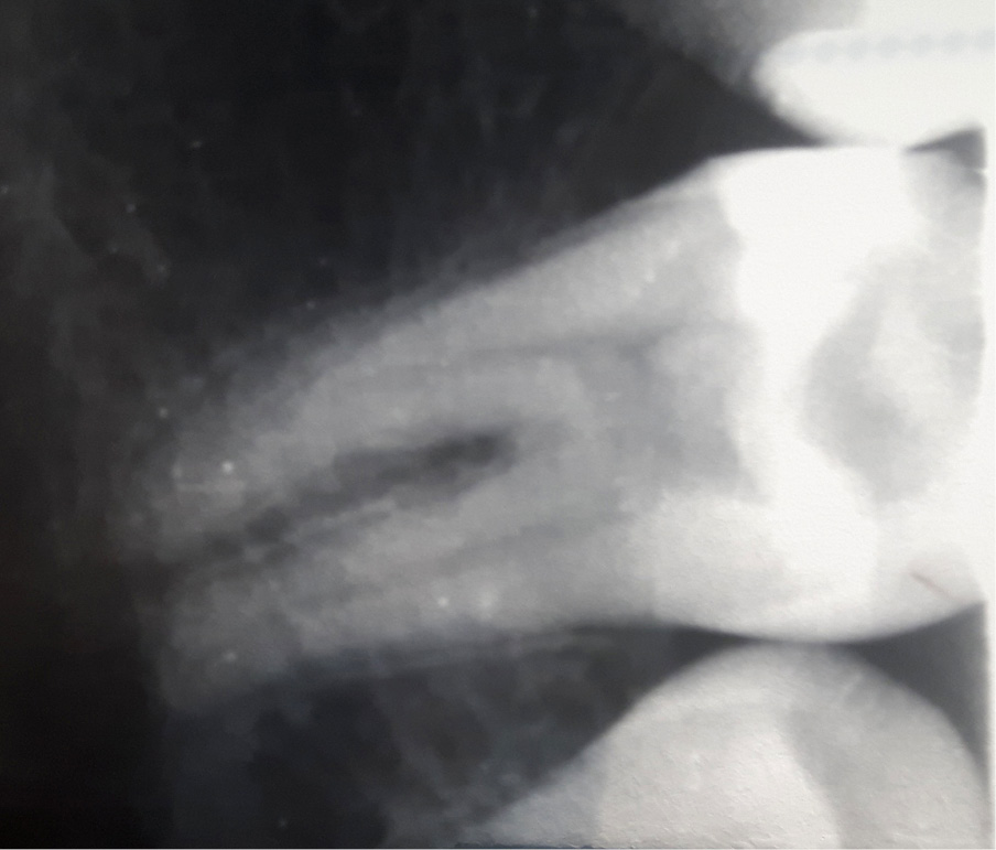
Leczenie endodontyczne zęba 36 u pacjenta z hemofilią typu A
- Badanie przedmiotowe zewnątrzustne i wewnątrzustne.
- Badanie podmiotowe pacjenta.
- Leczenie pacjenta z hemofilią w gabinecie stomatologicznym.

Title: Endodontic treatment of a tooth 36 in a patient with haemophilia type A
Słowa kluczowe: leczenie endodontyczne, hemofilia typu A, nieodwracalne zapalenie miazgi, zaburzenia krzepnięcia, skaza krwotoczna
Keywords: endodontic treatment, haemophilia type A, irreversible pulmonary inflammation, coagulation disorder, haemorrhagic fever
Streszczenie: Hemofilia jest chorobą genetycznie uwarunkowaną, recesywnie sprzężoną z chromosomem X. Jest to skaza krwotoczna spowodowana brakiem lub niedoborem jednego z czynników krzepnięcia. W przypadku hemofilii typu A brakuje czynnika VIII [1-2]. Najczęstszymi objawami są trudne do zatamowania krwawienia z uszkodzonych urazem naczyń krwionośnych i wylewy krwi do stawów, mięśni czy narządów wewnętrznych, często pojawiające się samoistnie [1-4]. Chorzy ze skazami krwotocznymi są szczególną grupą pacjentów w gabinecie stomatologicznym. Występuje u nich ryzyko trudnych do zatrzymania krwawień, spowodowanych nawet drobnymi urazami podczas zabiegów stomatologicznych. Dlatego pacjenci obarczeni tym schorzeniem muszą być odpowiednio przygotowani do wizyty w gabinecie dentystycznym, a zabiegi powinny być wykonywane ze szczególną ostrożnością [5-6].
Summary: Haemophilia is a genetically determined disease recessively linked to the X chromosome. It is a haemorrhagic disease caused by a deficiency or complete absence of coagulation factors. In [...]
którzy są subskrybentami naszego portalu.
i ciesz się dostępem do bazy merytorycznej wiedzy!



