Zastosowanie substancji naturalnych w leczeniu powikłań w jamie ustnej po leczeniu onkologicznym
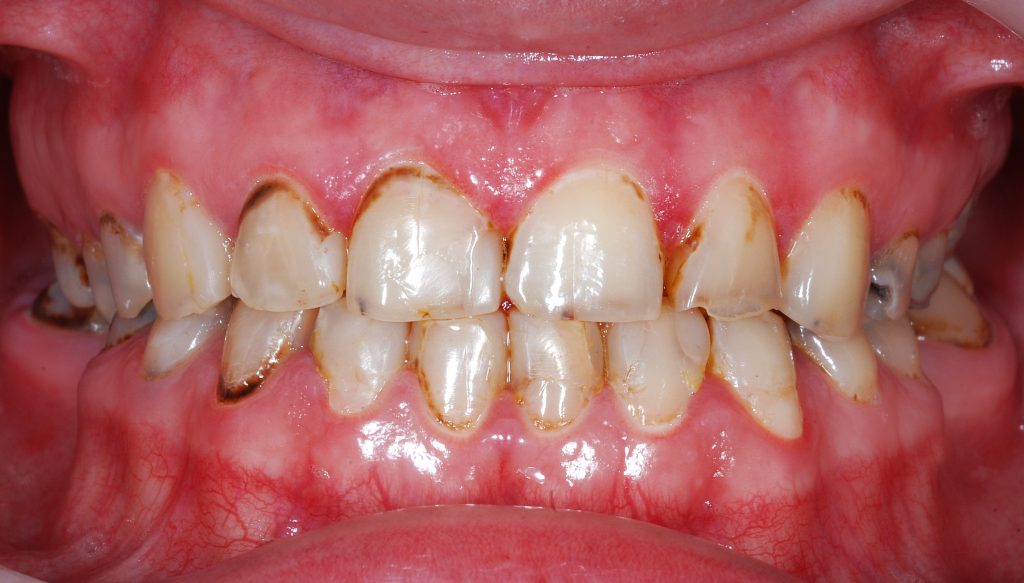
- Powikłania po leczeniu onkologicznym.
- Zaburzenia smaku.
- Oleje, olejki eteryczne.

Title: Use of the substances of natural origin in the treatment of post-oncological complications – a literature review
Streszczenie: W pracy przedstawiono przyczyny, objawy oraz możliwe następstwa wybranych powikłań (tj.: zapalenie błony śluzowej jamy ustnej, kserostomię, problemy z uzębieniem, zaburzenia smaku). Na podstawie dostępnego piśmiennictwa zaprezentowano charakterystykę wybranych środków leczniczych (śluzy, oleje, olejki eteryczne, flawonoidy, garbniki, saponiny), które mogą być wykorzystywane w leczeniu pacjentów cierpiących z powodu powikłań leczenia onkologicznego w obrębie głowy i szyi.
Słowa kluczowe: periodontologia, onkologia, składniki ziołowe, zdrowie jamy ustnej
Summary: The paper presents causes, symptoms and possible consequences of selected complications (e.g. stomatitis, xerostomia, dentition problems and taste disorders). Based on the available literature, the characteristics of selected medicinal products (mucilage, oils, essential oils, flavonoids, tannins, saponins) which may be used in the treatment of patients suffering from post-oncological head and neck problems are presented.
Keywords: periodontology, oncology, herbal compounds, oral health
Wraz ze wzrostem zachorowalności i wyleczalności nowotworów w gabinetach stomatologicznych pojawia się coraz większa grupa pacjentów z dolegliwościami w jamie ustnej będącymi powikłaniami po leczeniu onkologicznym (1). Problem jest na tyle poważny, że jego rozwiązanie wymaga współpracy [...]
którzy są subskrybentami naszego portalu.
i ciesz się dostępem do bazy merytorycznej wiedzy!



