CAD/CAM i handmade, czyli historia jednego przypadku
- Artykuł przedstawia etapy wykonania koron i mostu na podbudowie metalowej w górnym łuku zębowym przy użyciu techniki CAD/CAM oraz tradycyjnego licowania ceramiką dentystyczną.
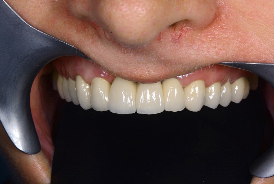
- U pacjentki, lat 51, zaplanowano prace, które miały obejmować w pierwszym etapie wykonanie koron: 16, 15, 14, 24, 25, 25 oraz mostu: 13,12, 0, 0, 22, 23.
- Drugim etapem będzie wykonanie koron i mostów w żuchwie.

TITLE: Standards and procedures, or the history of one case
STRESZCZENIE: Artykuł przedstawia etapy wykonania koron i mostu na podbudowie metalowej w górnym łuku zębowym przy użyciu techniki CAD/CAM oraz tradycyjnego licowania ceramiką dentystyczną.
SŁOWA KLUCZOWE: korony, licowanie, CAD/CAM
SUMMARY: The article presents the stages of fabricating crowns and a bridge on the metalfoundation in the upper dental arch using CAD/CAM and traditional veneering withdental ceramics.
KEYWORDS: crowns, veneering, CAD/CAM
Do przedstawienia przypadku zachęciły mnie doskonała preparacja i wycisk – praca doktora, który wiele wymaga od technika, ale jeszcze więcej od siebie, i przemiła pacjentka, która zgodziła się udostępnić fotograficzną dokumentację z przebiegu leczenia protetycznego.
Prezentowany przypadek
U pacjentki, lat 51, zaplanowano [...]
którzy są subskrybentami naszego portalu.
i ciesz się dostępem do bazy merytorycznej wiedzy!



