Wykorzystanie regulatora czynności mięśniowych MFS w leczeniu 11-letniego pacjenta rosnącego z II klasą szkieletową, podgrupa 2 – opis przypadku
- Oparcie terapii na korekcie dysfunkcji – argumentacja.
- Brachycefaliczny typ twarzy, wzorzec rotacji szczęk w okresie wzrostu.
- Czynnik wzrostu – jego potencjalne oddziaływanie na ostateczny efekt kliniczny.

Streszczenie:
Jedną z przyczyn powstawania wady klasy II z głębokim zgryzem jest nadmierne napięcie mięśni żwaczy o podłożu parafunkcji statycznej lub dynamicznej, jakim jest zaciskanie zębów lub bruksizm. Ma on bezpośredni negatywny wpływ na wzrost czaszkowo-twarzowy. Brak miejsca na stałe kły to istotny sygnał wskazujący na potrzebę leczenia ortodontycznego. Zmniejszenie napięcia mięśni żwaczy u pacjentów z parafunkcjami w okresie wzrostu pozwala na poprawę warunków okluzji.
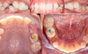
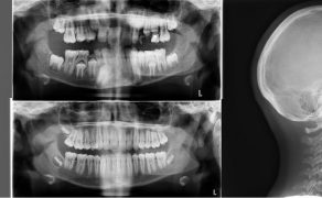
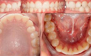
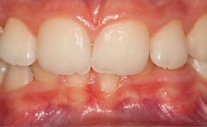
Cel. Celem pracy jest opis terapii ortodontycznej i czynnościowej pacjenta w późnym okresie uzębienia mlecznego, u którego rozpoznano: II klasę zębową i szkieletową podgrupy 2, brachycefaliczny typ wzrostu z wklęsłym profilem, ekstruzją górnych siekaczy centralnych i wychyleniem siekacza bocznego szczęki, nadmiernym napięciem mięśni żwaczy, parafunkcją zaciskania zębów i brakiem miejsca na stałe kły górne.
Opis przypadku. Artykuł opisuje leczenie 11-letniego pacjenta w późnym okresie uzębienia mlecznego, u którego rozpoznano: II klasę zębową i szkieletową podgrupy 2, brachycefaliczny typ wzrostu z wklęsłym profilem, ekstruzją górnych siekaczy centralnych i wychyleniem siekacza bocznego szczęki. W leczeniu zastosowano płytkę górną Schwarza ze śrubą trójkierunkową oraz urządzenie odciążające MFS złożone z relaksatora mięśniowego i płytki nagryzowej. Urządzenie odciążające jest efektywnym uzupełnieniem terapii ortodontycznej, wymusza długotrwałą pożądaną w terapii pracę mięśni zespołu ustno-twarzowego.
Słowa kluczowe: wada zgryzu II klasy, nadmierne napięcie mięśni żwaczy, stłoczenia zębów, zwiększony nagryz pionowy, zęby stałe, relaksator mięśniowy z płytką nagryzową, urządzenie odciążające
Część poglądowa
Wady klasy II – wstęp
Największa grupa pacjentów poddawanych leczeniu ortodontycznemu to grupa z zaburzeniami II klasy szkieletowej, zębowej oraz ze zgryzem głębokim. Jeżeli tym wadom towarzyszą nieprawidłowości funkcji motorycznych związane m.in. z oddychaniem czy połykaniem, to proces likwidacji zaburzeń jest dużym wyzwaniem zarówno dla lekarza, jak i leczonego.
Wady klasy II pojawiają się statystycznie najczęściej, a według badań niektórych autorów dotyczą nawet co czwartego pacjenta. Wśród czynników etiologicznych zębowego zgryzu głębokiego podaje się dziedziczenie genetyczne. Zwykle tę grupę pacjentów charakteryzują: szczególny wzrost szkieletowy, profil wypukły lub prosty z długim nosem, brachycefaliczny typ wzrostu z pogłębioną bruzdą wargowo-bródkową i silnie zaznaczoną bródką [1].
Oparcie terapii na korekcie dysfunkcji – argumentacja
Leczenie zaburzeń klasy II można przeprowadzić poprzez: modyfikację wzrostu u pacjentów rosnących, kamuflaż ortodontyczny polegający na przemieszczeniach zębów u pacjentów po ukończeniu wzrostu, modyfikację tych dwóch metod oraz chirurgiczną korektę kości szczęk [2]. W przypadku pacjentów po ukończeniu wzrostu należy rozważyć metodę kamuflażu ortodontycznego oraz operację chirurgiczną.
Jedną z przyjętych tradycyjnych metod leczenia w zaburzeniach klasy II są ekstrakcje górnych zębów przedtrzonowych. W artykułach naukowych poruszających to zagadnienie spotyka się odmienne stanowiska. Wśród różnych poglądów dotyczących leczenia ekstrakcyjnego i estetyki twarzy znaczna część argumentów krytycznie odnosi się do tej metody, nawet przy współistniejących stłoczeniach zębów. Wielu autorów podaje także aspekt estetyczny i wpływ ekstrakcyjnego leczenia ortodontycznego na wygląd twarzy [3-5].
Creekmore uważa, że każda z wybranych technik czy filozofii leczenia powinna być dostosowana do typu twarzy pacjenta i jego szczególnych indywidualnych potrzeb. Kierowanie wzrostem na wysokość powinno być stymulowane lub powstrzymywane [6]. Jeżeli koncepcja zaprogramowanej stymuloterapii jest realizowana we wczesnym dzieciństwie, to może być uznana w ortodoncji za innowacyjny program prewencyjny. Efekty działania urządzeń związane są z odruchem mięśniowym, regulującym aktywność mięśni agonistów i antagonistów [7].
Obecnie klinicyści coraz częściej akceptują nowy paradygmat stwierdzający, że zarówno cele, jak i ograniczenia leczenia ortodontycznego są bardziej uwarunkowane tkankami miękkimi niż relacjami szkieletowo-zębowymi. Na wygląd twarzy zasadniczy wpływ mają stosunki tkanek miękkich, w tym proporcje elementów twarzy, a także stosunek zębów do warg. Adaptacja tkanek miękkich do pozycji zębów (lub jej brak) determinuje stabilność wyniku leczenia ortodontycznego.
Według autorów, m.in. prof. Jose Durana i jego współpracowników, wszelkie anomalie postawy i funkcji mięśni szyi, podniebienia miękkiego, gardła, mięśni języka, powłok twarzy i mięśni żwaczy mogą odgrywać ważną rolę w rozwoju atypii szkieletowych. Wszystkie zębowo-szczękowe dysmorfizmy (z wyjątkiem niektórych rzadkich syndromów) są istotne w posturalnych i funkcjonalnych zaburzeniach. Aby je skorygować, wymagana jest nie tylko normalizacja kostna. Przede wszystkim niezbędna jest korekta dysfunkcji. W przypadku jej braku bardzo trudno uzyskać właściwą morfologię, a co więcej – po ukończonym leczeniu ortodontycznym możemy uzyskać nawrót częściowy lub całkowity.













