Kształtowanie profilu wyłaniania w leczeniu implantoprotetycznym jako wyzwanie dla lekarza
Kształtowanie profilu wyłaniania w leczeniu implantoprotetycznym jako wyzwanie dla lekarza klinicysty w uzyskaniu optymalnego efektu estetycznego ostatecznej odbudowy protetycznej – opis przypadków klinicznych

TITLE: Shaping the emergence profile in implantoprosthetic treatment as a challenge for a clinician to achieve the optimal aesthetic effect of the final prosthetic reconstruction – clinical cases
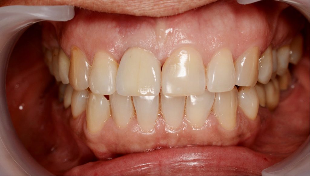
STRESZCZENIE: Rehabilitacja protetyczna z użyciem implantów w strefie estetycznej jest jednym z najbardziej wymagających zadań w stomatologii implantologicznej. Uzyskanie optymalnego efektu estetycznego stawia przed lekarzem klinicystą ogromne wyzwanie. Stworzenie atrakcyjnej odbudowy implantologicznej w strefie estetycznej opiera się na szczegółowym planie leczenia. Wynik estetyczny zależy od aspektów chirurgicznych i protetycznych. Aspekty chirurgiczne obejmują prawidłowe ułożenie platformy implantu w trzech kierunkach i udane zachowanie lub odtworzenie ściany kości przedsionkowej o odpowiedniej wysokości i grubości. Aspekty protetyczne obejmują jakość samego uzupełnienia oraz tworzenie otaczających je tkanek miękkich okołoimplantacyjnych, czyli profilu wyłaniania, które harmonizują z sąsiadującym uzębieniem.
SŁOWA KLUCZOWE: profil wyłaniania, wszczep dentystyczny, indywidualny łącznik protetyczny, dynamiczna kompresja, strefa estetyczna
SUMMARY: Prosthodontic rehabilitation with implants in the aesthetic zone is one of the most demanding tasks in implant dentistry. Obtaining an optimal aesthetic effect poses a great challenge to a clinician. Creating an attractive implant reconstruction in the aesthetic zone is based on a detailed treatment plan. The aesthetic result depends [...]
którzy są subskrybentami naszego portalu.
i ciesz się dostępem do bazy merytorycznej wiedzy!



