Leczenie wady zgryzu kl. II u pacjentki w wieku dojrzewania za pomocą połączenia zmodyfikowanego aparatu Twin Block ze stałym aparatem ortodontycznym
- Zastosowanie aparatów funkcjonalnych.
- Możliwości leczenie pacjenta ze stłoczeniem zębów przednich i cofniętą żuchwą - opis przypadku 13-latki.

Słowa kluczowe: Twin Block, klasa II
Keywords: Twin Block, Class II
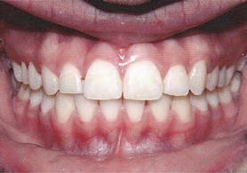
Streszczenie: Aparaty funkcjonalne są od dawna stosowane w leczeniu pacjentów z wadami kl. II. Głównym celem leczenia z ich wykorzystaniem jest wywołanie dodatkowego wydłużenia żuchwy poprzez stymulację wzrostu chrząstki kłykcia żuchwy. Jednym z najczęściej używanych aparatów funkcjonalnych jest Twin Block. Celem niniejszej pracy jest przedstawienie leczenia aparatem Twin Block niedorozwoju żuchwy u pacjentki, u której dojrzewanie płciowe (półtora roku po pierwszej miesiączce) i dojrzewanie kręgów szyjnych wskazywało na koniec pokwitaniowego skoku wzrostowego. Leczenie rozpoczęto od naklejenia na górnym łuku zamków 0,022 cala w preskrypcji MBT w celu wyrównania zębów szczęki i stworzenia symetrycznego nagryzu poziomego. Po uzyskaniu wyrównania pacjentce zalecono zmodyfikowany aparat Twin Block na okres 8 miesięcy. Ostateczną koordynację osiągnięto za pomocą aparatów stałych na obu łukach. Pod koniec leczenia profil pacjentki uległ poprawie, stłoczenia ustąpiły i osiągnięto relacje kl. I z prawidłowym nagryzem poziomym i pionowym.
Summary: Functional appliances have been used for treatment of Class II patients for a long time. The main objective of therapy with functional appliances is to induce supplementary lengthening of the mandible by [...]
którzy są subskrybentami naszego portalu.
i ciesz się dostępem do bazy merytorycznej wiedzy!



