Terapia lekami z grupy bisfosfonianów jako przyczyna martwicy kości szczęk
- Terapia bisfosfonianami w aspekcie leczenia ogólnostomatologicznego.
- BRONJ czy MRONJ?
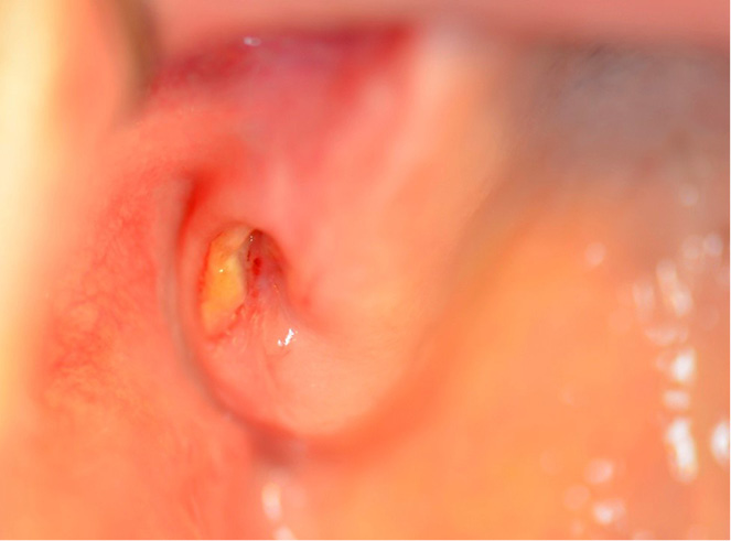
- Stadia martwicy kości szczęk.

Title: Bisphosphonate therapy as the cause of osteonecrosis of the jaws
Słowa kluczowe: martwica kości szczęk, bisfosfoniany, ekstrakcja zęba
Keywords: osteonecrosis of the jaws, bisphosphonates, tooth extraction
Streszczenie: Bisfosfoniany są grupą leków wykorzystywanych w terapii osteoporozy oraz łagodzeniu objawów przerzutów nowotworowych do kości. Jednym z powikłań ich przyjmowania jest martwica kości szczęk. Duża liczba pacjentów będąca pod wpływem tych leków skłania lekarzy stomatologów do szukania rozwiązań w zapobieganiu i leczeniu martwicy kości szczęk.
Summary: Bisphosphonates are drugs used to treat osteoporosis and bone metastases. One of the complications of their administration is osteonecrosis of the jaws. A large number of patients under the influence of these drugs prompts dentists to find the solutions in its prevention and treatment.
Bisfosfoniany należą do grupy leków szeroko stosowanych w chorobach, w przebiegu których występuje utrata masy kostnej, zależna od funkcjonowania osteoklastów. Po raz pierwszy zostały wprowadzone do leczenia osteoporozy w latach 90. ubiegłego wieku. Ich skuteczność jest związana z hamowaniem resorpcji kości [1]. Obecnie są lekami pierwszego rzutu stosowanymi w jej leczeniu. Pierwszym lekiem, który [...]
którzy są subskrybentami naszego portalu.
i ciesz się dostępem do bazy merytorycznej wiedzy!



